एजेन्सी १० असार । कोरोना महामारीले तत्काल ठूलो मात्रामा मानिसहरुलाई हानी पुर्याइरहेको छ । कोरोनाले अहिले मात्र नभइ यसले अगामी दिनमा समेत मानिसको फोक्सोमा असर पुर्याउने छ । हजारौँ मानिसहरु आउने दिनमा फोक्सोको उपचार गर्न बाध्यकारी हुने विज्ञहरु बताउँछन् ।
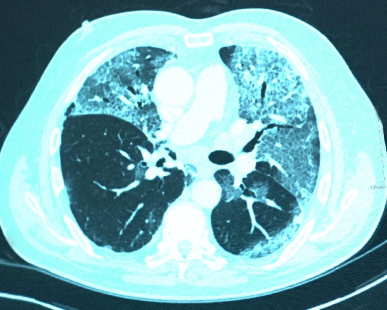
कोरोनाले फोक्सोमा दाग निम्त्याउन र समस्या उत्पन्न गर्न सक्नेमा विज्ञहरु चिन्तित रहेका छन् । कोरोनाको अवस्था अपरिवर्तनीय देखिन्छ । फोक्सामा रोग निम्त्याउन सक्ने खतरा अत्यधिक छ । यसले श्वासप्रश्वासमा समस्या सिर्जना गर्ने, कफ र थकान महसुस गराउन मुख्य भुमिका खेल्नेछ । फोक्सोमा दागलाई फेक्सो फाइब्रोसिस भनिन्छ । कोरोनाले निम्त्याउने फोक्सोको कोषिकामा दाग स्थायी रुपमा रहने कारण यसको उपचार नहुन सक्ने विज्ञहरु बताउँछन् ।
तर, परिक्षण भइरहेको भाइरसविरुद्वको औषधी वा खोपले उक्त समस्था न्युनीकरण गर्न सक्ने अनुमान विज्ञहरुले लगाएका छन् । हालै अत्यधिक मात्रामा फोक्सो विरामीहरु देखापरेका छन् । फोक्सोको समस्यालाई लामो समयका लागी ठिक पार्न प्रभावकारी कदमहरु चालिएको विज्ञहरुले बताएका छन् ।




प्रतिक्रिया